Bác sĩ Trung tâm Y tế TP Đông Triều cảnh báo một số nguyên nhân gây tổn thương khớp háng ở người lớn tuổi
Khớp háng là khớp chịu lực chính của cơ thể, giúp chúng ta đi lại, đứng lên ngồi xuống và giữ thăng bằng. Ở người lớn tuổi, khớp háng rất dễ bị tổn thương, đặc biệt là gãy cổ xương đùi hoặc hoại tử chỏm xương đùi , thoái hóa khớp háng– những biến chứng nặng nề gây đau đớn, hạn chế vận động và có thể đe dọa tính mạng nếu không được điều trị kịp thời.


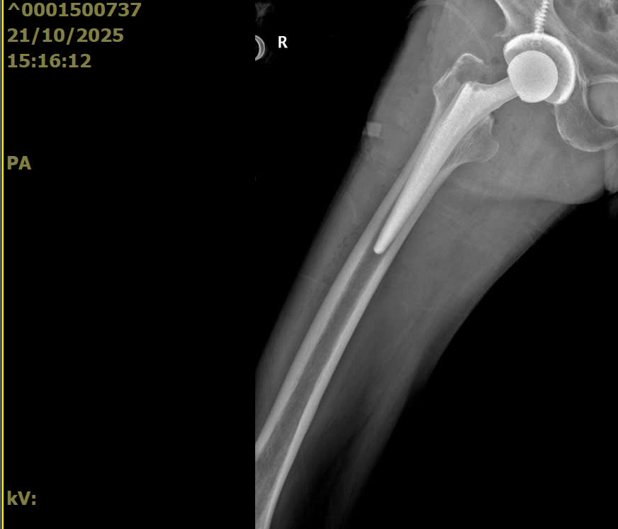
Trong tuần vừa qua, các bác sĩ Trung tâm Y tế Đông Triều đã tiếp nhận và phẫu thuật thay khớp háng cho 04 bệnh nhân cao tuổi, trong đó có 02 bệnh nhân do nguyên nhân gãy cổ xương đùi và 02 bệnh nhân do hoại tử chỏm xương đùi. Trước thực trạng bệnh lý vùng khớp háng cần phải phẫu thuật ngày càng gia tăng, Bác sĩ CKII Hà Duy Nam – Phó Giám đốc Trung tâm Y tế TP Đông Triều khuyến cáo người dân cần lưu ý bốn nguyên nhân phổ biến gây tổn thương khớp háng ở người cao tuổi:
- Loãng xương – “kẻ thù thầm lặng”:
Loãng xương khiến xương giòn, dễ gãy ngay cả khi chỉ vấp ngã nhẹ. Nhiều người cao tuổi không biết mình bị loãng xương cho đến khi xuất hiện gãy xương.
- Trượt ngã trong sinh hoạt – nguyên nhân hàng đầu gây gãy khớp háng
Trượt ngã thường xảy ra trong nhà tắm, cầu thang, sân ướt hoặc khi bước xuống bậc cửa. Ở người cao tuổi, chỉ một cú ngã nhẹ cũng có thể gây gãy cổ xương đùi.
- Hút thuốc lá, uống rượu bia – làm tăng nguy cơ gây hoại tử chỏm xương đùi
Thuốc lá và rượu bia không chỉ làm giảm hấp thu canxi, khiến xương yếu đi, mà còn làm giảm tuần hoàn máu nuôi chỏm xương đùi, từ đó tăng nguy cơ hoại tử chỏm xương đùi – một bệnh lý gây đau sâu vùng háng, hạn chế vận động và có thể phải thay khớp háng nhân tạo.
- Thoái hóa khớp háng – hậu quả của tuổi tác và quá tải vận động
Thoái hóa khớp háng là tình trạng sụn khớp bị mòn dần theo thời gian, làm khớp đau, cứng, khó vận động. Nguyên nhân thường do tuổi cao, béo phì, lao động nặng hoặc chấn thương cũ không được điều trị đúng cách.
Nếu không can thiệp sớm, thoái hóa khớp háng sẽ tiến triển nặng, gây biến dạng khớp và tàn phế.
✅ KHUYẾN CÁO TỪ CÁC BÁC SĨ TRUNG TÂM Y TẾ ĐÔNG TRIỀU
Người trên 50 tuổi, đặc biệt phụ nữ sau mãn kinh, nên kiểm tra mật độ xương định kỳ; đặc biệt nếu có đau vùng háng, khớp háng cứng hoặc vận động khó.
Duy trì cân nặng hợp lý, tránh béo phì vì cân nặng quá mức làm tăng tải trọng lên khớp háng.
Duy trì chế độ dinh dưỡng đầy đủ canxi, vitamin D, Omega 3 kết hợp tập luyện nhẹ nhàng như đi bộ, dưỡng sinh.
Giữ sàn nhà khô ráo, lắp tay vịn ở nhà tắm và cầu thang, mang giày dép chống trượt khi di chuyển.
Không hút thuốc lá, hạn chế rượu bia, đồng thời kiểm soát tốt bệnh lý mạn tính như tăng huyết áp, tiểu đường, rối loạn mỡ máu.
Khi có biểu hiện đau vùng háng, khó đi lại, hoặc sau té ngã không đứng dậy được, cần đến cơ sở y tế để khám ngay, tránh tự điều trị hoặc xoa bóp.
✅ LỜI KẾT
Tổn thương khớp háng ở người lớn tuổi hoàn toàn có thể phòng ngừa nếu mỗi người hiểu rõ nguyên nhân, chủ động kiểm tra sức khỏe và loại bỏ thói quen có hại.
Hãy cùng Trung tâm Y tế TP Đông Triều chung tay bảo vệ xương khớp cho người cao tuổi – để tuổi già luôn khỏe mạnh, tự tin và hạnh phúc.
Cần tư vấn về bệnh lý xương khớp, vui lòng liên hệ Phẫu thuật viên Chấn thương Chỉnh hình – Bác sĩ CK2 Hà Duy Nam, số điện thoại: 0984969163.







